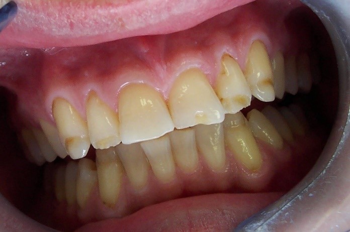
Dovolujeme si Vám ukázat několik konkrétních ošetření, která proběhla v naší ordinaci, pro Vaši představu, jak pracujeme a na čem nám záleží…

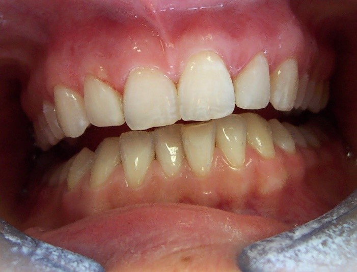
Zhotovení nových výplní a dostavba frontálního úseku fotokompozitním materiálem

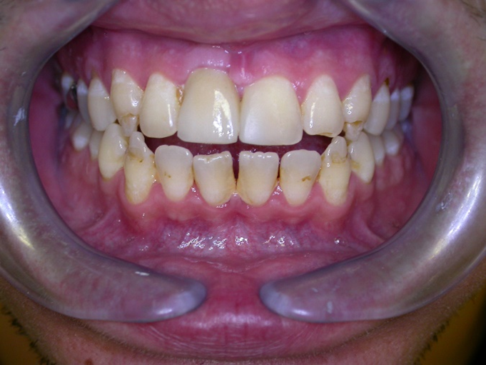
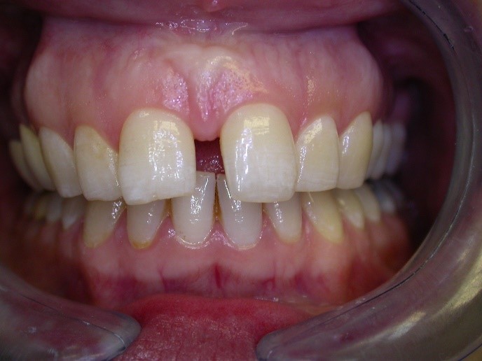
Úprava tvaru zubů

Tvar zubů dělá veliký rozdíl pro estetiku Vašeho úsměvu. Rádi pro Vás takovou změnu uděláme. Úprava diastematu, tedy mezery mezi předními zuby, fotokompozitním materiálem z volné ruky.

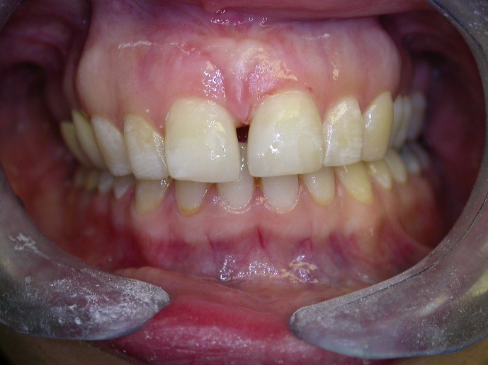
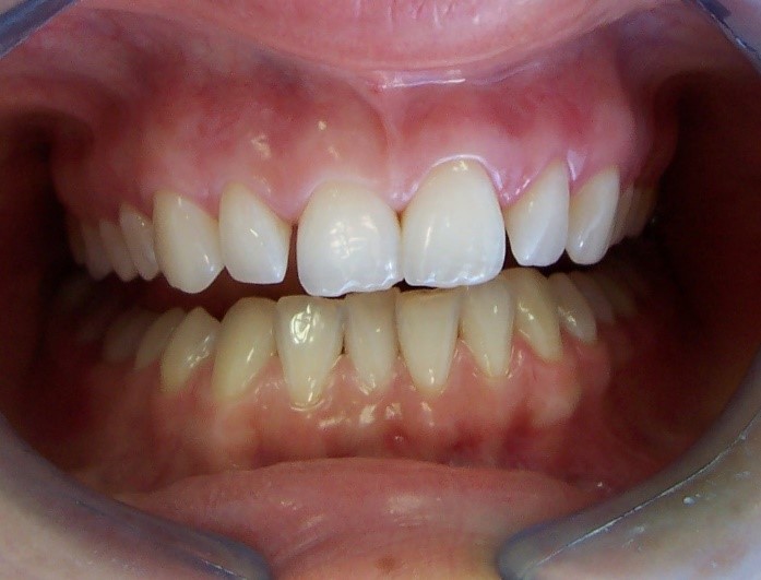
Uzavření mezer v horním frontálním úseku fotokompozitním materiálem

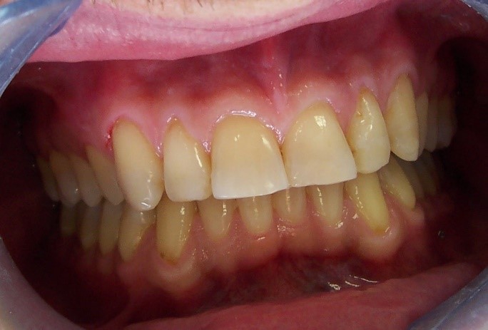
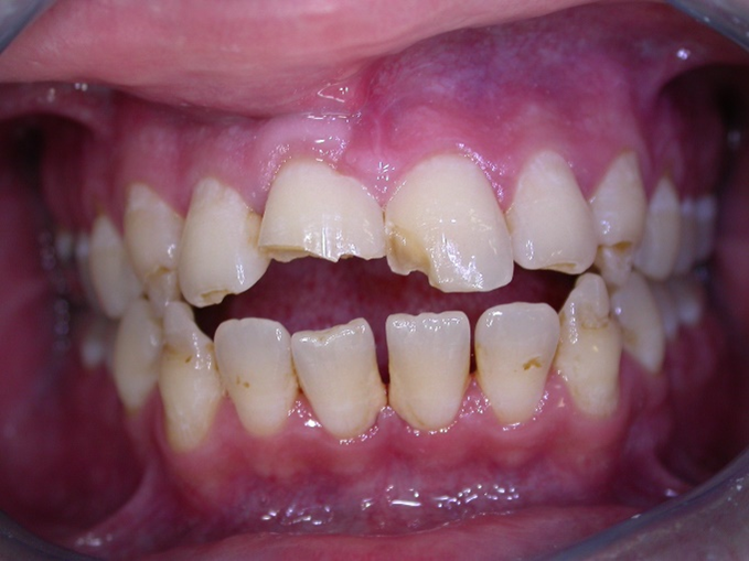
Úraz zubu

V případě úrazu se snažíme udělat maximum pro zachování vitality, funkce i estetiky postiženého zubu.