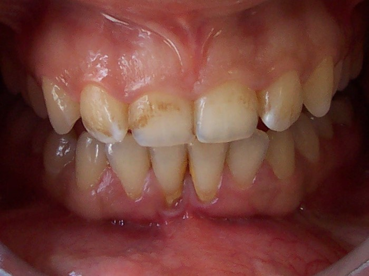
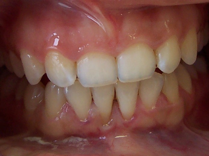
V dnešní době je dentální hygiena nedílnou součástí péče o Vaše zuby. Představuje jeden z pilířů prevence nejčastějších onemocnění tvrdých i měkkých tkání dutiny ústní a způsob léčby již probíhajících onemocnění - gingivitidy a parodontitidy. Odstranění zubního kamene, plaku, případně pigmentací pomocí ultrazvuku, ručních nástrojů nebo airflow, následná depurace a leštění povrchu zubů Vám umožní správné a účinné provádění domácí péče. Součástí ošetření může být také lokální floridace povrchu zubů za účelem zvýšení jejich odolnosti, případně použití a doporučení dalších chemických látek k léčbě či prevenci zánětu dásní. Hygienistka Vám také pomůže s výběrem pomůcek pro provádění osobní hygieny a vysvětlí správnou techniku jejich používání. Na Vaše přání a po doporučení Vašeho zubaře Vám může také zuby vybělit, ať již přímo v ordinaci nebo použitím takzvaného domácího bělení, kterým Vás vybaví domů.
Pravidelné preventivní prohlídky u Vašeho zubního lékaře, profesionální dentální hygiena a Vaše osobní každodenní, systematická, efektivní domácí péče jsou tou nejlepší cestou ke zdravým zubům a dásním.
© 2022 MUDr. Ladislav Česnek - privátní stomatologická praxe